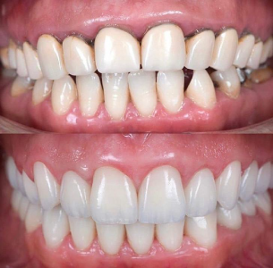
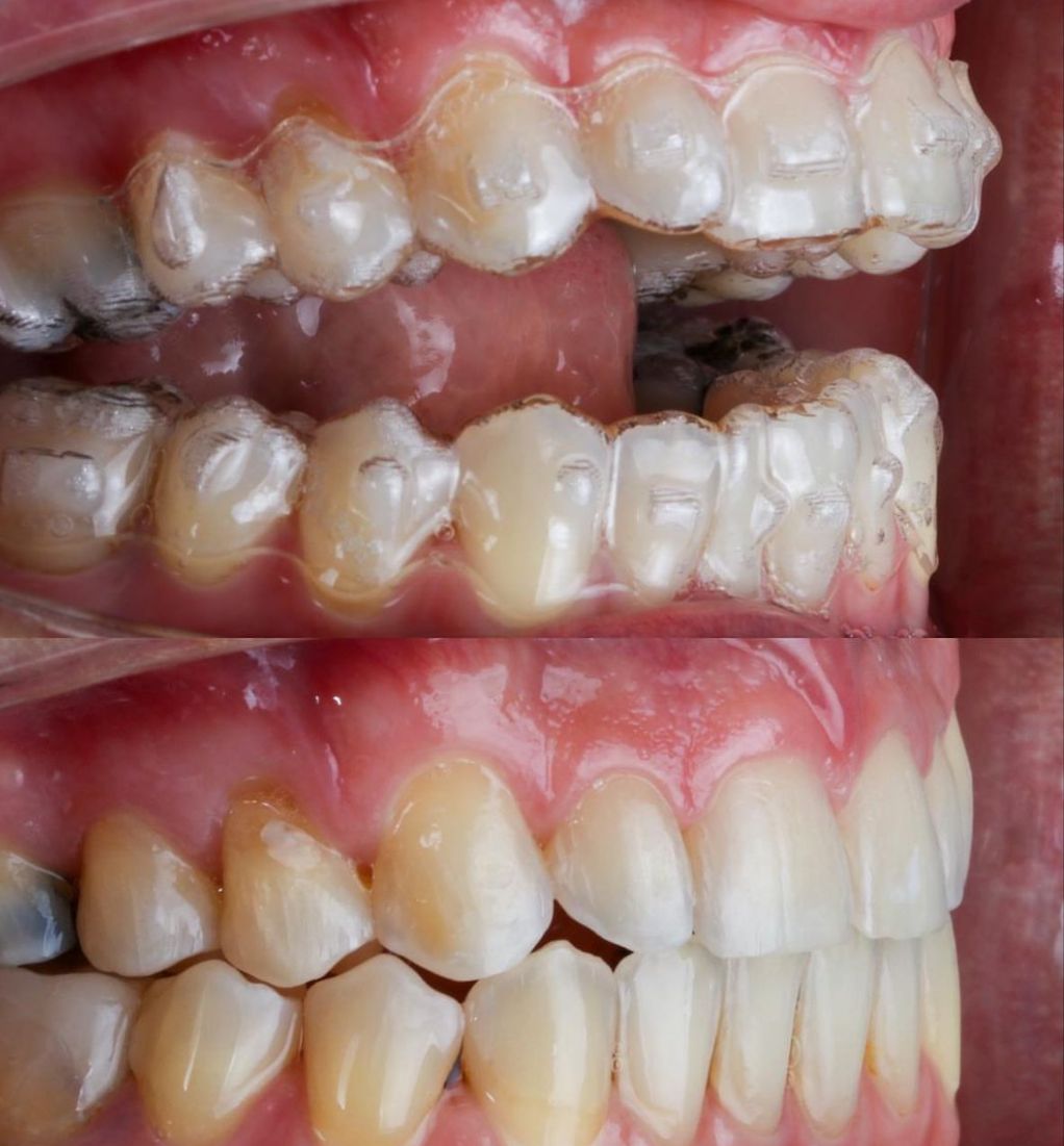
DISEÑO DE SONRISA
El Diseño de Sonrisa consiste en llevar los dientes a unas condiciones ideales de tamaño forma y color, según la cara, la personalidad y los rasgos específicos de cada paciente.
ORTODONCIA
Si tienes los dientes desalineados, la solución es el tratamiento de ortodoncia; en dónde los dientes se colocan en su posición adecuada. Contamos con brackets metálicos, estéticos y alineadores transparentes.
ORTODONCIA INVISIBLE
La ortodoncia invisible ha desarrollado otra técnica que consiste en unas férulas transparentes removibles que están situadas en la parte externa de los dientes y que son prácticamente imperceptibles a la vista. Están hechos a medida y con un material de plástico resistente (policarbonato). El tiempo del tratamiento suele ser parecido a la técnica convencional.
CARILLAS DENTALES
Las carillas dentales son una solución cosmética ideal para todos aquellos que desean una hermosa sonrisa con una mínima invasión en sus dientes.
CIRUGÍA MAXILOFACIAL
Los terceros molares, comúnmente llamados “muelas del juicio”, pueden permanecer en boca siempre y cuando se encuentren correctamente posicionadas. Desgraciadamente, esto no sucede en la mayoría de los casos, y surgen problemas que ocasionan que se tengan que extraer.
RESINAS DE ALTA ESTÉTICA
Solución para corregir pequeñas imperfecciones, fracturas menores, caries, alteraciones de color y formas inadecuadas.
PRÓTESIS DENTALES
Las Prótesis Fijas y Removibles permiten sustituir dientes, restableciendo funciones estéticas, fonéticas y masticatorias.
IMPLANTOLOGÍA DENTAL
Recomendada para casos de pérdidas de dientes por enfermedad, accidentes o ausencia congénita.

